





Протезирование на имплантах:
Ваша улыбка может быть идеальной






Ваша улыбка может быть идеальной
Протезирование на имплантах — это современное и надежное решение, которое позволяет навсегда забыть о проблеме отсутствующих зубов. Это не просто замена утраченного зуба, это восстановление полноценного качества жизни.


это искусственный титановый корень, который хирургическим путем устанавливается в вашу челюстную кость.
Изготовленный из биосовместимого материала, он надежно срастается с костью, становясь прочной основой для будущего зуба. Сверху на имплант с помощью специального связующего элемента — абатмента — фиксируется коронка, видимая часть зуба. В результате вы получаете новую, идеальную улыбку, которая не отличима от натуральной.
✅ Сохранение здоровых зубов. В отличие от мостовидного протеза, для установки коронки на импланте не требуется обтачивать соседние, здоровые зубы.
✅ Предотвращение атрофии кости. Имплант, как и натуральный корень, создает жевательную нагрузку, что стимулирует костную ткань и не дает ей рассасываться.
✅ Надежность и комфорт. Конструкция несъемная, плотно фиксируется и не вызывает дискомфорта. Вы будете чувствовать себя так же естественно, как с собственными зубами.
✅ Долговечность. При правильном уходе импланты могут служить десятилетия.
✅ Восстановление эстетики. Искусственные зубы на имплантах выглядят максимально естественно, восстанавливая гармонию вашего лица и улыбки.
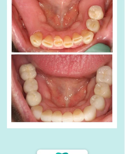
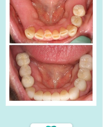
✅ Одиночная коронка — идеально подходит для восстановления одного утраченного зуба.
✅ Мостовидный протез на имплантах — решение для замещения нескольких отсутствующих зубов подряд. Импланты становятся опорными «колоннами» для моста, что позволяет избежать обточки здоровых зубов.
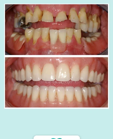
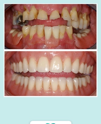
✅ Полные протезы на 4 и 6 имплантах (технологии All-on-4 и All-on-6) — это революционное решение для пациентов с полным отсутствием зубов на челюсти. Всего 4 или 6 имплантатов служат опорой для несъемного протеза, который восстанавливает всю челюсть за 1 раз!
✅ Консультация и планирование. Врач проводит осмотр, делает 3D-снимок и составляет индивидуальный план лечения.
✅ Установка импланта. Под местной анестезией имплант устанавливается в кость. Процесс комфортный и безболезненный.
✅ Период заживления. Несколько месяцев требуется для того, чтобы имплант полностью сросся с костью (остеоинтеграция).
✅ Установка формирователя десны и абатмента. После приживления десна подготавливается для фиксации коронки.
✅ Протезирование. Фиксируется заранее изготовленная коронка или протез. Ваша новая улыбка готова!



















